Radiografías
Diagnóstico preciso, tratamiento efectivo.
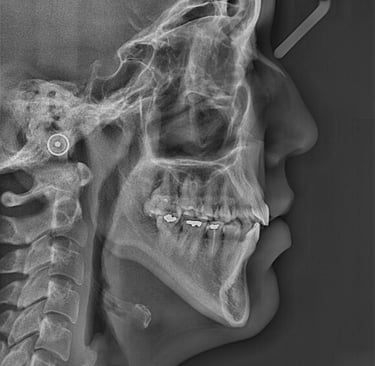
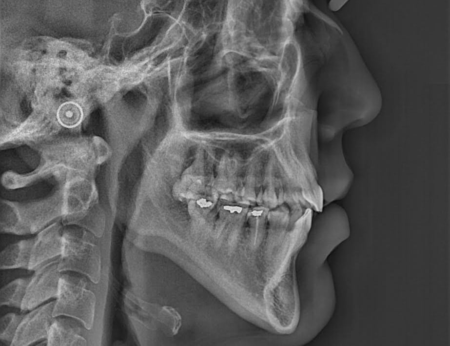
Durante las radiografías, se obtienen imagenes de los dientes y los huesos mediante rayos X.
Con motivo de una revisión dental, se toman radiografías interproximales (de aleta de mordida) según sea necesario. Se toman 1 o 2 de cada lado de la boca. Si tiene caries muy activas , puede que sean necesarias radiografías interproximales con mayor frecuencia. Estas radiografías se toman para detectar caries en los espacios interdentales y para comprobar el nivel óseo.
En las radiografías interproximales se puede observar el inicio de las caries antes de que sean visibles en la boca. Por lo tanto, es posible iniciar un tratamiento preventivo antes de realizar un empaste. Las radiografías interproximales también permiten evaluar el nivel óseo alrededor de los dientes y, por consiguiente, indicar si existe periodontitis.
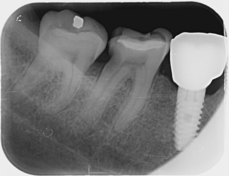
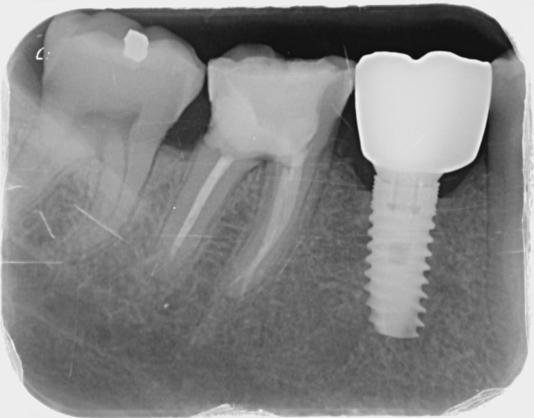
En otros casos, puede ser necesario tomar una radiografía que abarque todo el diente. Estas radiografías se pueden utilizar, por ejemplo, para detectar caries o inflamación en el ápice de la raíz. Se toman, por ejemplo, antes de colocar una corona o en relación con un tratamiento de conducto.


Diagnóstico preciso, tratamiento efectivo
En Centro Dental BeHappy Ñuñoa, utilizamos tecnología radiográfica de última generación para detectar problemas antes de que se conviertan en complicaciones mayores. Un diagnóstico temprano marca la diferencia.
Agenda tu evaluación diagnóstica y descubre el estado real de tu salud bucal. Estamos en Ñuñoa, con tecnología avanzada y atención adaptada a ti.


Fase Radiografía
Fase Tratamiento Listo
Explore Nuestros Tratamientos
Centro Dental
BeHappy
Dirección
Síguenos para mantener al día
ceobehappy@gmail.com
© 2025. Centro Dental BeHappy.


Política de privacidad y cookies
Suecia 3580, OF. 304, Ñuñoa, Región Metropolitana
Información
