Reconstrucción de Mordida
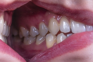
En Centro Dental BeHappy Ñuñoa nos especializamos en reconstrucciones dentales complejas para pacientes con dientes severamente desgastados, fracturas múltiples o pérdida de dimensión vertical de la mordida.
¿Cuándo Necesitas Reconstrucción de Mordida?
Cuando pierdes dientes o estos se desgastan significativamente por bruxismo, erosión ácida o traumatismos, tu mordida colapsa. Esto genera:
Dificultad para masticar alimentos
Dolor en articulación temporomandibular (ATM)
Desgaste acelerado de dientes remanentes
Cambios estéticos faciales (apariencia envejecida)
Problemas en músculos masticatorios
Nuestro Protocolo de Reconstrucción
Fase 1: Diagnóstico Integral
Evaluamos articulación temporomandibular, músculos masticatorios, oclusión y registros digitales 3D para planificar altura y posición ideal de mordida.
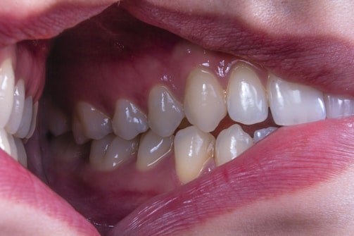
Fase 2: Rehabilitación Provisional
Colocamos coronas y puentes provisionales en resina para corregir la dimensión vertical y evaluar función por 2 a 3 meses. Esto permite ajustar la oclusión antes de la restauración definitiva.
Fase 3: Restauración Definitiva
Una vez confirmada la función correcta y ausencia de dolor articular, fabricamos coronas y puentes definitivos en porcelana o zirconio que replican forma, color y función natural.
Importancia de la Fase Provisional
La articulación temporomandibular y los músculos masticatorios deben adaptarse gradualmente a la nueva mordida. Colocar restauraciones definitivas inmediatamente, sin fase de prueba, puede generar dolor, contracturas musculares y fracaso del tratamiento.
Explore Nuestros Tratamientos
Centro Dental
BeHappy
Dirección
Síguenos para mantener al día
ceobehappy@gmail.com
© 2025. Centro Dental BeHappy.


Política de privacidad y cookies
Suecia 3580, OF. 304, Ñuñoa, Región Metropolitana
Información
